当センターでは、MRI、CT、レントゲンなどの医療機器を備え、専門的な技術を身につけた技師が検査を行い、より質の高い画像を提供できるよう取り組んでおります。それをもとに専門医師が正確な診断をすることで、皆さまの病気の早期発見・治療につなげられるよう、日々努力しております。
機器紹介
MRI
PHILIPS社製 MR5300

2025年5月より群馬県初導入となる「BlueSealマグネット」を搭載したMRIを導入しました。人工知能(AI)技術であるディープラーニング画像再構成を搭載し、AI技術を使用する事で、短時間の検査で高画質な画像を得られることが可能になります。また、従来のMRI装置よりも大経口(70cm)になり、体格の大きい方、狭い所が苦手な方の負担軽減に寄与しています。
MRI検査は、CTやレントゲン検査と違い放射線被ばくがなく、より安全性の高い検査を行います(場合によっては、造影剤を使用する検査もあります)
当院では頭部から腹部、関節領域まで全身のあらゆる部位の撮像を行っており、診断に活躍しています。また当院では、心臓の冠動脈MRA・全身拡散強調画像・前立腺MRスペクトロスコピーなど、MRI撮像技術を駆使し、特殊な検査も行っております
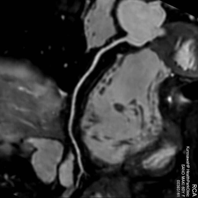
冠動脈MRA検査
『冠動脈VR画像』
『冠動脈CPR画像』
この検査は、被ばくもなく、造影剤を使わずに冠動脈を描出することができる画期的な診断方法です。
狭心症や心筋梗塞など、年々増えている「冠動脈疾患」。冠動脈MRA検査により、カテーテルによる冠動脈検査を行わずに冠動脈の狭いところを見つけること出来るようになり、心筋梗塞や突然死を未然に防ぐことに貢献しています。
前立腺MRI

赤丸の部分が、がん

当センターの前立腺MRI検査では、さまざまな断面画像に加え、MRS(MRスペクトロスコピー)という特殊な方法を用いて検査を行っています。
「MRS」は体内の代謝物を検出する技術であり、前立腺ではクエン酸・コリンという2種の代謝物を測定することにより、がんの検出能向上や悪性度の評価に有用と言われています(正常ではクエン酸が豊富、がんではクエン酸が減少しコリンが上昇する)。しかし直腸ガスや生検後の出血の影響を鋭敏に受けやすいので、さまざまな検討を行い、その結果ルーチン検査として取り入れることに成功しました。
拡散強調画像


MRI撮像法の1つで、水分子の拡散運動を画像として反映させています。腫瘍・梗塞・炎症などの病変はこの拡散運動が小さくなるということが分かっており、この状態を画像化することによって、これらの病変を検出することができます。従来、当センターでは全身撮影を行う場合、約40分~50分の時間を要していました。しかし、新しく導入したMRI装置で全身撮影を行う場合、約20分の撮影が可能になりました。
整形領域の撮影
当センターでは、体幹部のみならず四肢の撮影も行っております。膝関節、肩関節、手関節、足関節など整形領域の撮影も行っております。最新のAI技術を用いることで、より細かく描出できるようになり、靭帯損傷や骨折、筋損傷を見つけることが出来ます。


『膝関節MRI画像』
『肩関節MRI画像』
『手関節MRI画像』

『足部MRI画像』
MRIの診断が有用な部位・疾患
- 頭部領域-超急性期の脳梗塞・脳血管・脳腫瘍など
- 体幹部-肝臓がん、乳がん、前立腺がんなど各部位のがん・胆管、膵管の描出
CT
SOMATOM Definition AS+ (SIEMENS社製)

ヘルスパーククリニックでは128スライス型のマルチスライスCTをもちいて、冠動脈疾患やがんの2次健診を行います。
特長
当院のCTは、大口径型ガントリ―と言われる、オープン型ガントリとほぼ同等の78cmを有しております。閉所恐怖症の方、体格の大きい方等も問題なく撮影可能です。また、撮影範囲も広範囲撮影が可能となっており、救急時における検査に有用な設計になっております。X線発生装置も、一回転0.3秒という高速回転であるため、心臓の撮影は勿論ですが、高心拍の方でも問題なく撮影可能です。心臓以外でも肺、下肢血管等様々な撮影が可能となっております。肺がんドックで撮影しております胸部(肺)の撮影では、約5秒の撮影となっております。
症例


マンモグラフィ

乳房X線撮影装置を使用して撮影する検査をマンモグラフィといいます。マンモグラフィは触診だけではわからない早期の乳がんを写し出すことができます。
検査時間は10分程度です。
マンモグラフィで異常が発見された場合、超音波(エコー)検査や MRI による精密検査、組織検査を行います。
当院ではマンモグラフィは全て女性技師が担当していますので、ご安心ください。
症例

当院では通常のマンモグラフィ(2D)画像に加え、トモシンセシス(3D)画像を撮影することができます。 乳房を圧迫した状態で多方向から撮影することで、CT や MRI のように画像をスライス(輪切り)で見ることができます。


2D 画像(左)では構築の乱れ(乳腺のひきつれ)が写っています。(→部分)
3D 画像(右)では、スピキュラ(乳腺の強いひきつれ、毛羽立ち)(→部分)が明瞭になります。

2D 画像(左)では、濃度が高い(白い)腫瘤が写っています。(赤丸部分)
3D 画像(右)を見ると、不整な辺縁をもつ腫瘤がより鮮明に写し出され、中に細かい石灰化がみられます。 (赤丸部分)
X線関連装置

(島津社製)
X線-TV装置
バリウム、ヨード造影剤などをもちいて胃や腸、腎臓や膀胱などを観察・撮影する装置です。デジタルX線TVシステムにより検査効率の向上とX線被曝低減、そして高精細な画像により正確な診断を行えるよう努めております。
一般撮影(DR)装置
症例写真
一般撮影とはX線を用いて身体の様々な部位を撮影する検査です。当院では胸部・腹部の他、整形外科領域の撮影もおこなっております。

胸部正面像 
腹部立位像

右膝関節正面像 
腰椎側面像




